
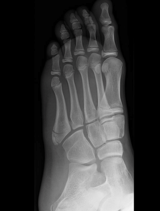
This is a Medial Oblique view of a Left foot
image 8
This is a medial oblique view of a skeletally immature patient. An extraarticular cortical break is noted at the base of the 5th metatarsal from lateral distal to proximal medial in a transverse orientation, consistent with an avulsion fracture. The fracture only involves about 60% of the 5th metatarsal and does not transverse the width of the bone. The fracture is nondisplaced in this view. The apophysis is also noted on the lateral aspect of the base of the 5th metatarsal, oriented vertically. This is normal in a skeletally immature patient, as are the other growth plates throughout the foot. No other cortical breaks or dislocations are noted.
