
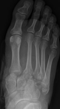
This is an AP View of the Right foot
Our History
AP view of a radiographic image of a right foot showing the lateral dislocation of metatarsal bases 1-5. A diastasis is noted at the base of the 1st and 2nd metatarsal bases, and a nondisplaced transverse fracture at the base of the 2nd metatarsal. These findings are consistent with a homolateral Lisfranc dislocation. A chip fracture is noted from the cuboid laterally.
