
This is an AP view of a painful 1st MPJ, Right foot.

This is an AP view of a painful 1st MPJ, Left foot.

This is a Lateral view of a mal-odorous ulcer, Left foot.

This is a Lateral view of a painful arch, Right foot.

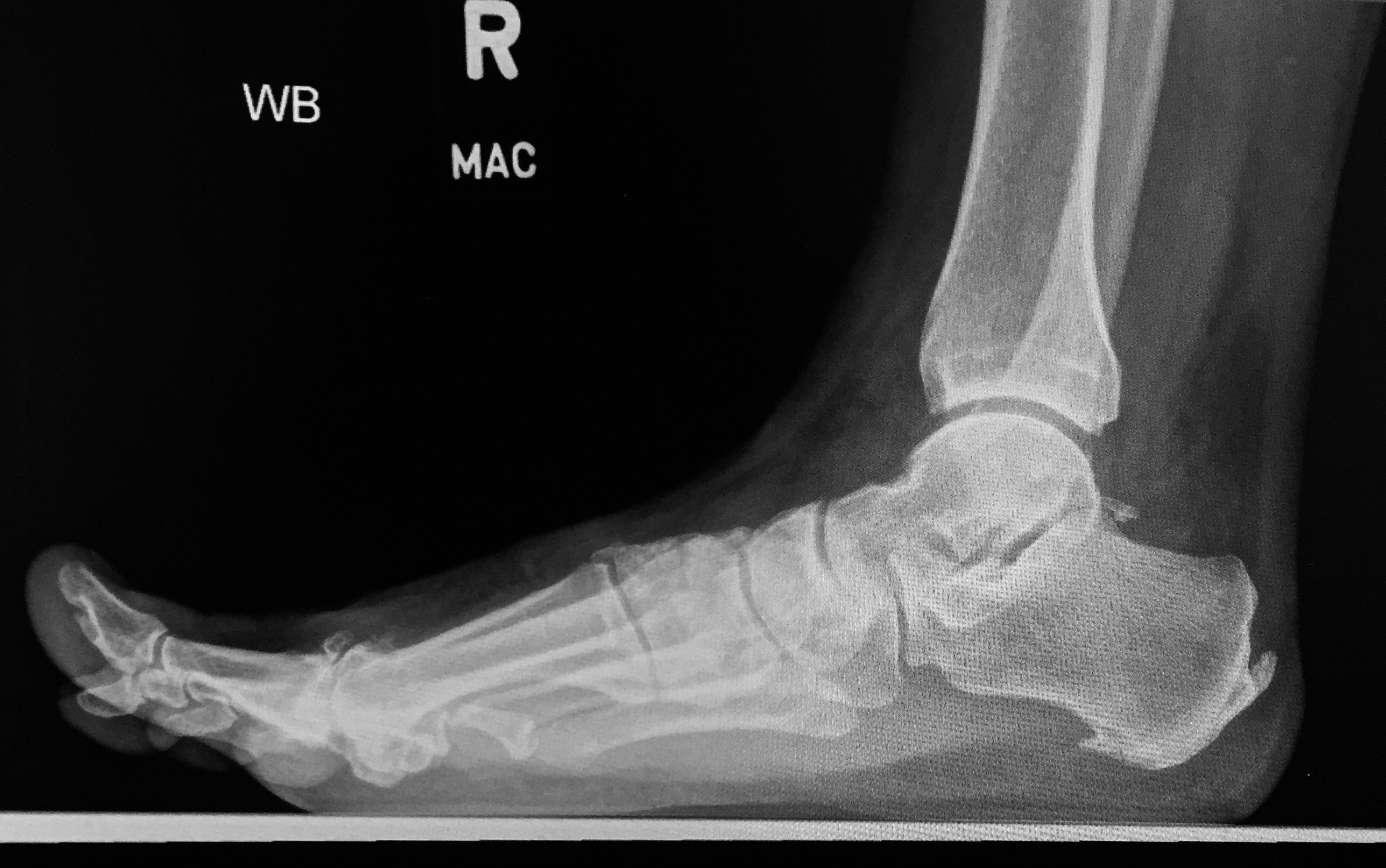
This is a Lateral view of a painful heel, Left foot.

This is a Sagittal MRI of a painful heel, Left foot.

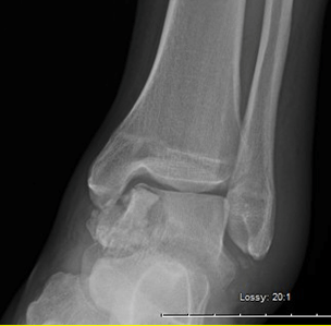
This is a AP view of a painful ankle, Left foot.

This is a Lateral view of a painful heel, Left foot.

This is a Sagittal MRI of a painful heel, Left foot.